Dr. Abdurehman Eshete Mohammed

Abdurehman Eshete MOHAMMED

Bioengineer, Clinical Chemist & Full-Stack Web Developer

Dedicated academic professional with expertise in research, teaching, and scholarly contributions. Committed to advancing knowledge and fostering intellectual growth in Bioengineering and Clinical Laboratory Sciences.

About Me

My photo at Confocal microscopy

I am an academic staff member at Wollo University, College of Medicine & Health Sciences, Department of Medical Laboratory Sciences, Dessie, Ethiopia. I have more than a decade of work experience in higher education institutions. My educational journey includes a PhD in Bioengineering from the Izmir Institute of Technology (IZTECH), Izmir, Türkiye, an MSc in Clinical Laboratory Sciences (specialty in Clinical Chemistry) , and a BSc in Medical Laboratory Technology from Jimma University, Ethiopia.

As a Bioengineer and Clinical Chemist, I possess a wide range of technical skills that include organ-on-a-chip design, fabrication, and optimization, 3D cell culture, confocal microscopy, 3D printing, cell viability assay, Image analysis, cancer biology, molecular biology techniques, ELISA, Immunostaining, Pharmacokinetics-Pharmacodynamics(PK-PD) modeling and simulations, High-performance liquid chromatography (HPLC), histopathology techniques, and clinical sample collection, processing and analysis with different clinical laboratory automation and instruments. I am proficient in R and Python programming languages for data analysis. Moreover, I am a full stack web developer.

In addition to the above skills, I have published ten research articles in international peer-reviewed journals. In summary, my expertise encompasses bioengineering and laboratory medicine. I am passionate about cancer research, organ-on-a-chip, and stem cell research. I am searching for an opportunity to develop my career in advanced research and scientific knowledge in this field.

Areas of Expertise

Teaching

  • Curriculum Development
  • Student Mentoring
  • Academic Assessment,
  • Educational Technology

Research

  • Academic Research
  • Research Design
  • Data Analysis
  • Statistical Methods

Publications

  • Academic Writing
  • Peer Review
  • Journal Publications
  • Conference Presentations

Leadership

  • Academic Administration
  • Committee Leadership
  • Project Management,
  • Collaboration

Selected Publications

Multiorgan-on-a-chip for cancer drug pharmacokinetics-pharmacodynamics (PK-PD) modeling and simulations

This study developed a 3D-printed integrated breast-liver multiorgan-on-a-chip platform to experimentally generate pharmacokinetic and pharmacodynamic data for cancer drugs. The data was then modeled computationally to identify optimal and safe dosing regimens. This single-fabrication system offers a robust and human-relevant alternative to animal models for the preclinical evaluation of drug efficacy and toxicity.

MOC MOC

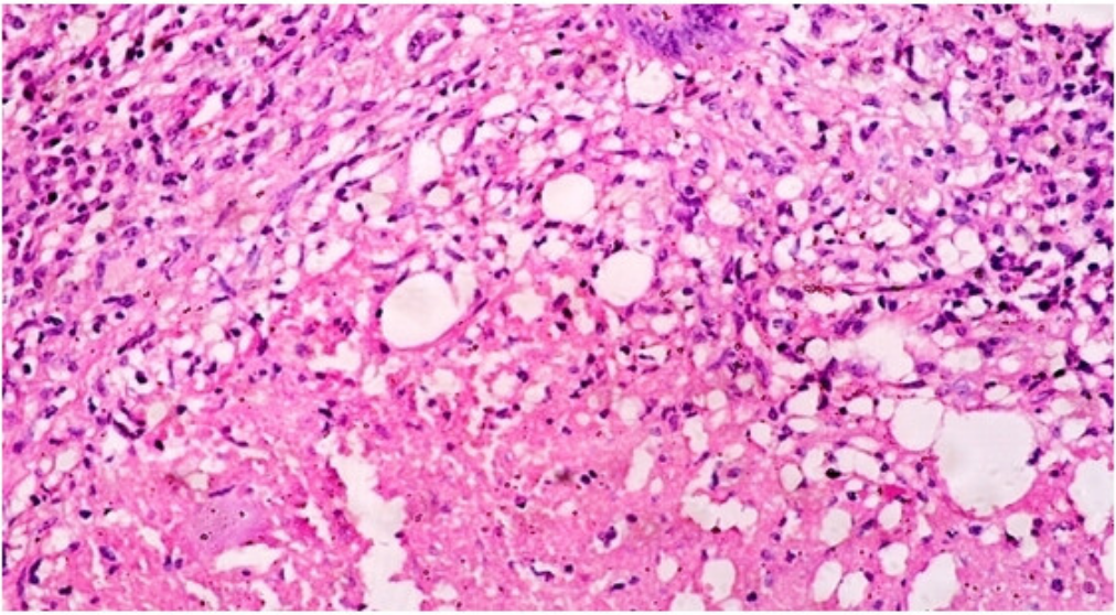
M. tuberculosis in Lymph Node Biopsy Paraffin-Embedded Sections

Our study at Jimma University Specialized Hospital confirmed a high prevalence (61.7%) of tuberculosis lymphadenitis in lymph node biopsies, with a significantly higher occurrence in female patients, necessitating enhanced control and prevention efforts.

Lymph node biopsy showing epitheloid cell changes in H/E stain by 400x. Fragmented or beaded rods (AFB) seen inside and outside macrophages in ZN staining by 400x. Lymphnode biopsy showing giant cells and caseation in H/E stain by 400x.

Diabetes mellitus and risk factors in human immunodeficiency virus-infected individuals at Jimma University Specialized Hospital, Southwest Ethiopia

This cross-sectional study conducted at Jimma University Specialized Hospital found that 6.4% of adults infected with 393 HIV have diabetes mellitus.

The key risk factors significantly associated with diabetes include older age, a longer duration of HAART (highly active antiretroviral therapy), hypertension, and high LDL cholesterol levels.

The study concludes that individuals infected with HIV should be screened for diabetes both before and after starting HAART, as the treatment may affect their risk for developing diabetes.

Glucose values

Glucose values

Education & Training

IZTECH Logo

Ph.D. in Bioengineering

Institution : Izmir Institute of Technology(IZTECH), Izmir, Türkiye

Dissertation: Multiorgan-on-a-chip for cancer drug testing

Patent: I have submitted a patent to the Turkish Patent Institute (application number PCT/TR2024/050432) and await the outcome.

Address: Gülbahçe, 35430, Izmir, Türkiye

Website: https://iyte.edu.tr/

WU Logo

Higher Diploma: In Teaching in Higher Education

Institution : Wollo University

Address: Kellem Meda street, P.O. Box 1145, Dessie, Ethiopia

Website: https://Wu.edu.et/

ikcu Logo

Diploma in Turkish language(C1)

Institution : Izmir Katip Çelebi University, Izmir, Türkiye

Address: 35640 Cigli/Izmir, Türkiye

Website: https://ikcu.edu.tr/

JU Logo

MSc in Clinical Laboratory Sciences (specialty in Clinical Chemistry)

Institution: Jimma University, Ethiopia

Thesis: Diabetes mellitus and risk factors in human immunodeficiency virus-infected individuals at Jimma University Specialized Hospital, Southwest Ethiopia

Address: 378, Jimma, Ethiopia

Website: https://ju.edu.et/

JU Logo

BSc in Medical Laboratory Technology(MLT)

Institution: Jimma University, Ethiopia

Thesis: : M. tuberculosis in Lymph Node Biopsy Paraffin-Embedded Sections.

Address: 378, Jimma, Ethiopia

Website: https://ju.edu.et/

Work Experience

Assistant Professor of Bioengineering & Clinical Chemistry

Institution: Wollo University, Ethiopia, College of Medicine & Health Sciences, School of Medical Laboratory Sciences, Dessie, Ethiopia

Duration: September 2022 - Present

  • Currently, I am working on the evaluation of biochemical and hematological profiles among breast cancer patients receiving medical care at Dessie Comprehensive Specialized Hospital.
  • I am working as a laboratory and workshop officer at the Wollo University field and laboratory directorate office.
  • Course delivery for graduate and undergraduate medicine and allied health science students.
  • Advise and supervise graduate and undergraduate students.
  • Actively participate in curriculum revision, school meetings, and in different university committees.
  • Participate in continuous professional development.

Lecturer and Assistant Lecturer

Institution: Jimma University, Institute of Health, School of Medical Laboratory Sciences, Jimma, Ethiopia

Duration: 2012 - 2016

  • Delivered courses for Medical Laboratory Science students.
  • Participated in a malaria clinical trial at Jimma University, sponsored by GlaxoSmithKline (GSK).
  • Provided clinical laboratory services to patients at Jimma Specialized Hospital laboratory.
  • Engage actively in clinical research.

Graduate Assistant II

Institution: Jimma University, Institute of Health, School of Medical Laboratory Sciences, Jimma, Ethiopia

Duration: 2010 - 2011

  • Assisting medical and allied health science students during their laboratory practical sessions.
  • Preparing clinical samples for laboratory practical sessions.
  • Preparing and processing histopathological samples involves collecting tissue, fixing it, embedding it in paraffin, sectioning it into thin slices, staining it for microscopic examination, and finally mounting it on slides for analysis to diagnose diseases.
  • Providing clinical laboratory services to patients at the Jimma Specialized Hospital laboratory.

Digital Skills

Skills
  • Microsoft Office Package: Microsoft Word, Excel, PowerPoint, Access
  • Bioinformatics
  • Monolix Suite: PKanalix, Monolix, Sycomore
  • Electronic Notebook
  • MATLAB SimBiology
  • AutoCAD
  • Vcell simulations
  • R Programming
  • Python Programming
  • Laboratory Information Management System (LIMS)
  • Image J/Fiji software
  • Cyber security management
  • Clinical trial management system
  • HTML, CSS, JavaScript, PHP, MySQL

Contact Information

WU Logo

Striding for quality!

Abdurehman Eshete MOHAMMED
Wollo University
College of Medicine & Health Sciences
School of Medical Laboratory Sciences
P.O. Box 1145
Dessie, Ethiopia

Email: aeshete8@gmail.com
          abdurehman.eshete@wu.edu.et